→ O que é HMI?
É a sigla que significa “hipomineralização molar incisivo”. Os dentes com hipomineralização apresentam manchas de diferentes tonalidades, que podem estar associadas a fraturas. E você sabia que esses dentes já podem nascer mais frágeis? Existem dois tipos de hipomineralização com que nós, dentistas, nos preocupamos muito:
– HMD (Hipomineralização Molar Decíduo): afeta os molares na dentição de leite; – HMI (Hipomineralização Molar Incisivo): afeta molares e incisivos na dentição permanente.
→ Como acontece?
A hipomineralização, que é um defeito qualitativo, ocorre devido a uma “falha” na mineralização do esmalte, podendo tornar o dente sensível a diferentes temperaturas, e se manifesta na camada mais externa e dura que protege os dentes, o esmalte dentário. O(s) dente(s) acometidos ficam mais frágeis e suscetíveis a fraturas e, consequentemente, mais vulneráveis à doença cárie, em especial se houver excesso de açúcar na dieta e higiene bucal precária, podendo interferir na qualidade de vida da criança, do adolescente e do adulto.
→ E como são as manchas?
A coloração das manchas varia entre branco-creme até o amarelo-acastanhado. No entanto, seu impacto vai além da aparência. Essas manchas, que partem de uma alteração estrutural do esmalte, fragilizam a estrutura dentária, podendo deixar o dente mais poroso.
→ O que pode acontecer com os dentes?
Os dentes afetados pela HMD ou HMI são mais suscetíveis a fraturas (quebra de parte do dente) e a lesões de cárie. A porosidade do esmalte também permite a passagem de variações de temperatura, como por exemplo tomar sorvete ou comer algo quente pode implicar em episódios de dor e grande sensibilidade dentária na criança, afetando a sua qualidade de vida. Alguns pacientes podem apresentar sensibilidade até em dias muito frios e não somente ao se alimentar. Além disso, justamente pela sensibilidade, pode também prejudicar a mastigação, influenciando até na nutrição da criança.
→ Quais as causas da HMI?
A HMI acontece no período de formação do dente; se considerarmos os primeiros molares e incisivos permanentes, a alteração sistêmica ocorreu nos primeiros anos de vida da criança. As causas ainda não são totalmente conhecidas, mas sabemos que pode ter influência multifatorial, como fatores genéticos, ambientais e a saúde geral da criança. Condições como nascimento prematuro, dificuldades respiratórias, como asma ou bronquite, amigdalites frequentes, dermatite atópica ou mesmo enfermidades como a doença celíaca podem aumentar o risco desse tipo de hipomineralização.
→ E quando ela pode se manifestar?
Em alguns casos, assim que o dente aparece na boca já é possível observar que há algo diferente nele, que tem coloração diferente; em outros casos, somente pode ser diagnosticado após a erupção completa.
→ Existe tratamento para HMI?
Sim. O tratamento varia conforme a idade da criança, o grau de hipomineralização e os sintomas apresentados. As queixas mais frequentes são dor, sensibilidade e desconforto estético. O objetivo do tratamento é manter a integridade dos dentes afetados e minimizar as chances de sofrerem fraturas ou desenvolverem lesões de cárie e impedir quadros de dor e sensibilidade. O tratamento pode variar desde a utilização de pastas específicas prescritas pelo odontopediatra, aplicações tópicas de flúor, restaurações, uso de produtos específicos para esses casos e laser.
Se o dente nasceu manchado, o que fazer?
O odontopediatra é o profissional capacitado para diagnosticar, tratar e acompanhar os casos de HMD e HMI. O acompanhamento odontológico é fundamental nesses casos, para evitar que pequenas alterações se tornem grande problemas.
Recomendamos que a primeira consulta odontológica deve ser feita no momento da erupção dos dentes e antes de completar 1 ano de idade. Um diagnóstico precoce pode fazer toda a diferença para formar uma geração com sorrisos mais fortes e saudáveis!

Figura 1. HMI em molar permanente (seta azul) e HMD em molar decíduo (seta verde), em paciente prematuro extremo. Observa-se a alteração de coloração de ambos os dentes, demonstrando manchas branco-opacas e acastanhadas, assim como falta de estrutura dentária no dente decíduo (dente de leite) (seta verde). Imagem cedida por Dra. Juliana Arisi.

Figura 2. HMI em primeiros molares permanentes superiores. Observa-se perda estrutural associada a opacidades amarelo-acastanhadas. Imagem cedida por Dra. Lucia Coutinho.

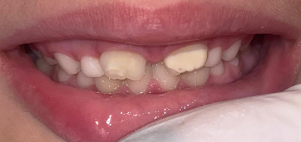
Figura 3. Manchas branco-creme decorrentes da HMI em incisivos centrais superiores da dentição permanente. Imagem cedida por Dra. Juliana Arisi.
Relatora:
Lucia Coutinho
Membro do Núcleo de Estudos de Saúde Oral da Sociedade de Pediatria de São Paulo
Colaboradoras:
Ana Maria Guimarães
Ana Flavia Calvo
Cristina Giovannetti Del Conte
Núcleo de Estudos de Saúde Oral da Sociedade de Pediatria de São Paulo


