Alexandre Francisco de Lourenço
Médico Doutor do Departamento de Ortopedia e Traumatologia da Escola Paulista de Medicina da Unifesp, Responsável pelo Setor de Ortopedia Pediátrica do Hospital Santa Marcelina, São Paulo; Presidente do Departamento Científico de Ortopedia da SPSP
Texto divulgado em 13/10/2016
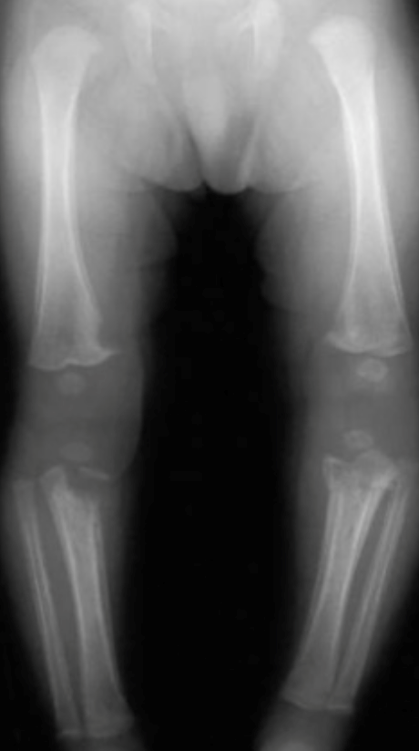
A incidência de sífilis infelizmente ainda é comum nos dias de hoje. A transmissão vertical da sífilis da gestante infectada para o feto pode atingir até 100% dos casos das mães não tratadas nas fases primária e secundária da doença. O germe se dissemina via hematogênica e o Treponema pallidum pode ser encontrado na medula óssea precocemente, menos de dois dias após o início da infecção. A infecção também pode ocorrer no canal do parto caso tenha feridas locais. Mais de 50% dos casos de sífilis congênita atingem os ossos. Os patógenos tendem a se localizar nas metáfises e diáfises dos ossos, poupando as articulações. Os ossos mais comumente acometidos são a tíbia, o úmero e o fêmur (FIGURA 1).
Na sífilis congênita precoce (diagnóstico antes dos 2 anos de idade) ocorre caracteristicamente uma metafisite e o acometimento simétrico de múltiplos ossos. Observa-se um alargamento da metáfise e as epífises são poupadas. Com a fragilidade óssea, é comum a ocorrência de fraturas patológicas. Um achado clínico nessa fase é a pseudoparalisia dos membros, a pseudoparalisia de Parrot, que é decorrente da metafisite e não de uma alteração neurológica ou muscular. O sinal de Wimberger é um sinal radiológico característico da sífilis congênita e é evidenciado pela destruição medial da metáfise proximal da tíbia (FIGURA 2).
Na sífilis congênita tardia, um achado clássico é a sequela da periostite das diáfises e, com aumento da densidade na fase tardia com a aposição óssea, na perna causa o aspecto característico da “tíbia em sabre” (FIGURA 3). Outro achado clínico é a sinovite que acomete geralmente os joelhos (bilateral) com um aumento de volume, indolor e sem alterações radiográficas, também conhecido como articulações de Clutton.
Referências:
– Lovell & Winter’s Pediatric Orthopaedics. Ed: Weinstein SL, Flynn JM. 7th ed. Wolters Kluwer Health. 2014
– Diretrizes para o controle da sífilis congênita: manual de bolso. Ministério da Saúde. Secretaria de Vigilância em Saúde. Programa Nacional de DST/AIDS. 2006. Disponível em: http://bvsms.saude.gov.br/bvs/publicacoes/manual_sifilis_bolso.pdf
Imagem: pt.slideshare.net

FIGURA 1. Acometimento múltiplo de ossos, principalmente nas diáfises e metáfises.
Imagem: pt.slideshare.net

FIGURA 2. Sinal de Wimberger, Lesão na metáfise medial da tibia.
Imagens: pt.slideshare.net

FIGURA 3. Tíbia em sabre, encurvamento anterior e aumento da densidade pela aposição óssea após a periostite.


